为什么我有一个牙齿黑黑的?
为什么我的门牙颜色和其他牙齿不一样?
你还在为这些问题苦恼吗?
你可能是牙髓坏死导致牙齿变色啦!!
来找我们吧!!!
划重点
01
什么是牙髓?

就像骨髓一样,
牙齿里面也有一个小小的空腔,
里面存着牙齿唯一的软组织—牙髓!
那些红红的就是它啦!
划重点
02
1.牙髓炎转化而来。简单来说就是你曾经牙疼过,后来缓解后你没有处理,久了牙髓慢慢坏死了。
2.外伤所致。
3.也可能由于修复材料的化学刺激而致。
划重点
03
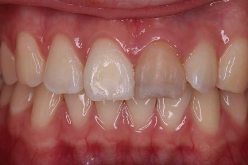
为什么牙髓坏死牙齿会变色?
坏死的组织进入牙本质小管,
进而使牙体发黑,
颜色暗淡。
划重点
04
临床表现多无疼痛症状,
牙齿变色呈暗黄色或灰色,无光泽。
划重点
05
怎么治疗呢?
根管治疗+死髓牙漂白哦!
治疗前后是不是很明显呢!


划重点
06
什么情况下不能做漂白呢?
1、乳牙和年轻恒牙。
2、牙周疾病患者。
3、根管治疗不完善者。
4、牙体缺损范围太大者。
5、颈部深楔状缺损者。
6、对过氧化物及其他添加成分过敏者。
7、孕产妇及哺乳期患者。
死髓牙内漂白术治疗效果好,不损伤牙体组织,安全无痛苦!
约起来吧,让你成为这条街最靓的仔!
