中文域名:桓台县人民医院.公益

· 国家三级乙等综合医院 · 国家级标准版胸痛中心、心衰中心
· 国家级高血压达标中心、房颤中心、心脏康复中心
· 国家级综合防治卒中中心· 国家级血栓防治中心优秀单位
· 国家标准化代谢性疾病管理中心· 国家级爱婴医院
· 全国综合医院中医药工作示范单位

骨质疏松规范诊疗

骨质疏松规范诊疗

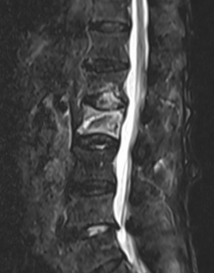
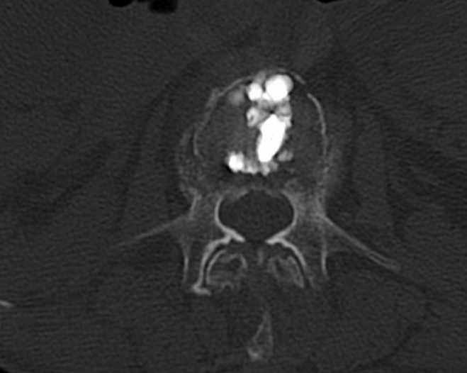
十余年来,我科室相继开展骨质疏松症的相关诊治工作,逐渐形成了自身的诊治体系,后经过整合联系,形成了以骨科二病区为龙头,联合检验科、放射科、内分泌科、血液风湿科等多学科结合、内外协作的骨松诊治MDT模式。目前采用的诊断方式有血钙及维生素ADKE检测、双能X线骨密度检测等,治疗方面也内外兼修,既可应用促成骨的四烯甲萘醌等,抑制骨吸收的唑来膦酸等药物治疗,又可采取椎体强化术、经皮穿刺椎弓根钉置入术等有效手术治疗,可结合患者自身情况,采取合适的治疗手段。开展骨质疏松诊治工作的十几年来,遵循指南,结合当地实际,总结归纳出了一套立足自身实际的诊疗体系,采取药物治疗与手术治疗相结合、因人而宜、综合施治的个体化的综合诊疗方案等。近年来,随着微创理念的推行和ERAS理念的实践,骨科二病区率先在本地区开创性的应用微创经椎间孔入路椎体强化术、经皮穿刺椎弓根钉置入术等先进治疗手段,实现立竿见影的治疗效果,深得广大患者的好评,取得了良好的社会效益和学术影响力,使桓台百姓足不出县即可享受到国内外先进的脊柱外科诊治体验。

术后术前