近日,我院麻醉科与耳鼻咽喉科携手成功救治一位深陷"声门危机"的患者。
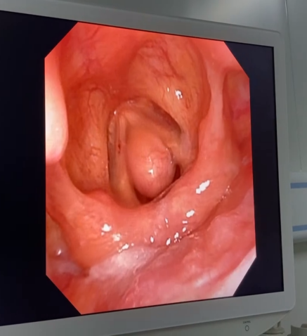
68岁的胡阿姨近两月来备受声音嘶哑困扰,日常交谈时感发声费力,症状逐渐加重,近半月出现呼吸困难,遂到我院耳鼻咽喉科就诊。经过高清电子喉镜检查发现,其右侧声带存在一1.2×1.0cm异常肿物,肿物随呼吸在狭窄气道内摆动,导致通气受阻。

面对患者特殊情况,麻醉科、耳鼻咽喉科立即组成协作小组,通过三维重建影像分析,发现肿物体积明显超过常规声带息肉病例,传统麻醉方式可能导致气道完全梗阻,同时考虑患者存在焦虑情绪,不利于麻醉苏醒后的治疗,因此决定采用分步镇静技术,降低气道应激反应,再配合可视化喉镜精准定位气管开口,最终成功置入超细气管导管,顺利完成肿物切除。术后患者发声功能恢复良好,气道通畅度完全达标。
桓台县人民医院麻醉科是集临床麻醉、疼痛治疗、急救复苏、教学科研于一体的综合性科室。科室承担围手术期麻醉管理、疼痛治疗、急危重症患者抢救以及胃肠镜检查、分娩、人流等舒适化医疗服务,全方位守护患者健康。 科室配备现代化麻醉机、多参数生命监护仪、超声引导设备、血气分析仪、自体血回输装置、靶控输注系统等先进设备,为精准诊疗提供有力支持。科室熟练开展全身麻醉、椎管内麻醉、神经阻滞麻醉等多种麻醉方式。年服务量超1.4万人次。在高龄患者、小儿、急危重症等特殊人群麻醉领域,积累丰富临床经验 。
