8月2日,我院呼吸与危重症医学科成功完成一例支气管镜下氩等离子体凝固(APC)肿瘤切除术。

63岁的张女士,因咳嗽、喘憋了1个多月来院检查,查体显示双肺呼吸音粗,闻及吸气相哮鸣音。通过CT等检查诊断为肺部肿瘤,支气管镜检查发现左主支气管狭窄,如不及时处理随时会发生呼吸道梗阻而危及生命。

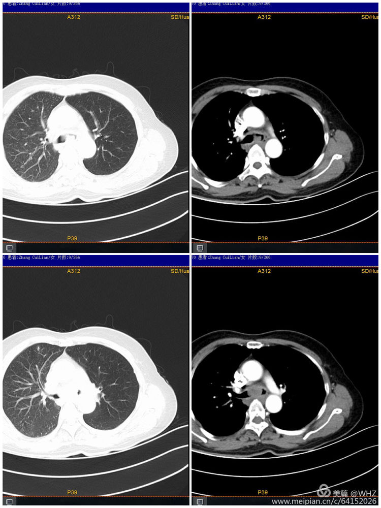
胸部CT示经气管镜活检病理为低分化腺癌伴灶性鳞状分化,基因监测无突变。
呼吸与危重症医学科和麻醉科经过认真的术前讨论和充分的准备,于8月2日为患者进行气管镜下APC(氩等离子体凝固)肿瘤切除术。术中发现左主支气管新生物浸润样生长,管腔不完全阻塞,仅剩15%左右,予以APC烧灼肿瘤后管腔增宽至80%,右主支开口处粘膜受累,管腔不完全阻塞,予以APC烧灼肿瘤组织。手术顺利,术后患者胸闷、喘憋明显减轻,吸气相哮鸣音消失。目前已顺利出院。

治疗前与治疗后比较
科普
近年来,随着介入技术在呼吸内科领域的广泛应用,经支气管镜介入治疗已经成为呼吸系统疾病治疗的重要手段,各种良恶性病变造成的气道阻塞性病变都可以通过经支气管镜介入技术来治疗,包括:激光、微波、高频电刀、氩等离子体凝固、冷冻治疗、光动力学、近距离放疗、支架和球囊扩张治疗。
氩等离子体凝固(APC)是一种非接触式的电凝固技术,带有APC探头的电极电离氩气形成氩等离子体,在探头和组织之间形成非接触式高频电流,通过热效应使组织干燥挛缩、凝固和失活,达到凝切病灶和止血功能。具有创伤小、安全有效、简便易行的特点。
一、适应症:
1.气管-支气管的原发和转移性肿瘤;
2.气管-支气管的良性肿瘤;
3.肉芽肿性疾病;
4.器质性气管-支气管狭窄;
5.气管镜可视范围内的气管-支气管的病变部位出血等。
二、禁忌症:
1. 管外型病变;
2.气管-食管贯通性浸润;
3.严重呼吸衰竭。
呼吸与危重症医学科已成熟开展气管镜下的介入治疗,包括APC、冷冻治疗等。对于不能外科手术的气道阻塞性病变可行经气管镜介入治疗。