近日,我院肝胆外科接诊一特殊患者。该患者系中年男性,1周前出现发热,测体温38.2℃,食欲下降,进食减少。无头痛、鼻塞、咽痛、流涕等“感冒”症状,无明显腹胀、腹痛,在外治疗,仍反复发热。外院CT检查考虑“肝脓肿”,来我院肝胆外科就诊。
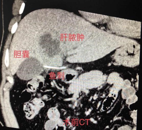
入院后行腹部强化CT显示肝左叶脓肿,胆囊与胃窦部间隙内异物(长约4cm),异物形状像极“鱼刺”。通过仔细询问得知患者2周前曾误吞鱼刺,因无明显不适感,未在意。结合病史考虑鱼刺穿过胃窦,移位至胃窦至胆囊之间,扎进肝脏导致肝脓肿。

患者主要症状为肝脓肿导致的感染发热,先行超声引导下肝脓肿穿刺置管引流。引流后患者体温恢复正常,复查CT显示脓肿体积缩小。“鱼刺”位置未发生变化,决定行腹腔镜下探查取出“鱼刺”。术中经仔细分离后,将鱼刺完整取出。术后测量鱼刺长约4cm,与术前CT检查显示一致。

鱼刺异物在临床上较常见,多数情况发生于咽喉部、食管。鱼刺穿过胃壁,未引起消化道穿孔症状而引发肝脓肿较为罕见,临床上鲜有报道。该患者因为生活中一个小小的意外,付出了“昂贵”的代价。在我院多科室合作下,用最合理、最微创的方法解决了这根“要命”的鱼刺。

专 家 提 醒
如果误吞鱼刺,尤其鱼刺较大时,千万别采用喝醋、吞饭团、吃韭菜等土法子,而是应该及早到医院就诊,多数情况可通过消化内镜取出,如果患者就诊不及时或处置措施不当,鱼刺可刺入食管、气管、胃肠道,甚至刺入大血管,或移位刺入腹腔内,往往引起严重后果,甚至危及生命。
